微科(武汉)精密仪器有限公司
MPI, LTD.

 本公司的所有产品仅可用于科研实验,严禁用于临床医疗及其他非科研用途! 

数码气压显微注射泵DMP-400部分用户名单及应用图片

发表时间:2024-04-06 22:57

数码气压显微注射泵DMP-400系列产品,其稳定的性能及良好精度获得了用户的肯定,目前已应用于哺乳动物细胞、昆虫卵/蛹/幼虫/成虫、鱼类卵胚胎/幼鱼/成鱼、线虫等样品显微注射实验中。

我们将该DMP-400型号近期部分装机用户名单统计如下(排名不分先后):

黑龙江农业工程职业学院

中国人民解放军军事医学科学院军事兽医研究所沈阳医学院

沈阳博泰生物制药有限公司

内蒙古医科大学

清华大学

中科微针(北京)科技有限公司

河北农业大学

河北省中医药科学院

山西省农业科学院

西安交通大学

武汉大学

华中农业大学

武汉科技大学

安徽农业大学

河海大学

上海海洋大学

上海交通大学

中国科学院分子细胞科学**创新中心

浙江大学

宁波大学

南昌大学

集美大学

中国水产科学研究院珠江水产研究所

汕头大学·香港中文大学联合汕头国际眼科中心

香港城市大学

华南农业大学

贵州医科大学

中国水产科学研究院黄海水产研究所万宁水产研究基地

部分应用图片:

斑马鱼等鱼卵胚胎注射:

微信图片_20230601100413.jpg

微信图片_20230601100707.jpg

微信图片_20240405233239.png

193.jpg


斑马鱼幼鱼注射:

微信图片_20230924214823.jpg

微信图片_20240405233113.jpg

微信图片_20230601100618.jpg


昆虫及其卵的注射:

微信图片_20240405232837.jpg

微信图片_20240405232847.jpg

微信图片_20230321145909.jpg

微信图片_20230924214829.jpg

微信图片_20240405233107.jpg

微信图片_20240405233102.jpg


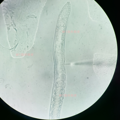
线虫等的注射:


微信图片_20230601100812.jpg

002.jpg


(哺乳动物细胞)猪胚胎的显微注射:

微信图片_20240405232840.jpg

微信图片_20240405232844.jpg

分享到:
Micrology (Wuhan) Precision
Instruments Co., LTD.
联系电话:027-50666092/+86-159-2721-6267
咨询 QQ: 2710082015
联系邮箱:info@mpiwh.com/sales@mpiwh.com
地址:武汉市东西湖区金银湖街潇湘东路10号R1栋1803室
营销中心:武汉市将军路街若通中心2栋1202室
website qrcode

扫描查看手机版

微信公众号:mpi-science
登录
登录
其他账号登录:
留言
回到顶部